
眼袋該外開還是內開?你還糾結嗎?眼袋是不分年紀、性別的共同困擾,眼袋卻不容易消除,尤其是老化鬆弛和先天原因造成的眼袋,有許多人會尋求眼袋手術解決困擾,但眼袋手術風險與失敗案例卻層出不窮。
隨著年齡增長,皮膚和支撐組織變得更薄、更鬆弛,脂肪層可能會突出,形成眼袋。由於眼袋容易讓人看起來疲憊、顯老,所以不少人會選擇醫美來處理。光澤醫美集團的醫師群共同精心探研究「5D亮睛術」多年,改良「傳統眼袋手術」過去容易引起的併發症狀,例如可能產生疤痕與凹陷,甚至多年後因肌膚老化而產生的假性眼袋等問題,光澤診所選擇「5D亮睛術」,術後傷口更小、恢復期較短並且大幅減少其它併發機率,近期不少演藝人士選擇進行此項手術。
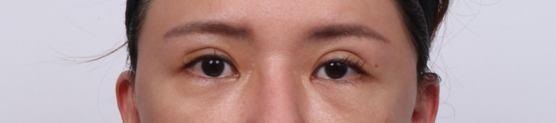
眼袋其形成原因大致可分為遺傳型和老化型,遺傳型眼袋通常是由天生的眼部結構特殊性所致,如肥厚的眼輪匝肌和過多的眼眶脂肪;而老化型眼袋則隨著年齡增長,眼周組織逐漸失去彈性,導致眼袋明顯突出,這些問題不僅影響外觀,還可能加重黑眼圈,使人看起來更加憔悴。
.png)
▲ 眼袋鬆弛合併淚溝

▲ 眼袋合併黑眼圈
因此不少人會選擇進行醫美手術來解決眼袋問題,由於過往的眼袋外開手術可能導致眼瞼外翻、疤痕、臥蠶改變、過度取脂使上、下眼窩凹陷加重、皮膚依然垂墜造成鬆弛性假眼袋等問題和術後後遺症,而新的術式「5D亮睛術」對此進行改善,提供給民眾另一項手術方法的選擇性。

眼袋內開手術會再取出眼袋脂肪後多數會再合併補脂去改善凹的淚溝,不過脂肪存活率約只有六、七成。眼袋脂肪回填淚溝,必須考慮脂肪細胞的存活率,而「5D亮睛術」把「補脂肪」變成眼袋的「脂肪轉位」,打破眶隔膜結構,放鬆韌帶,重新定位眼袋中的脂肪,使眼袋內的脂肪自然下移,再與蘋果肌脂肪做固定,淚溝韌帶同步重建,一次改善眼袋、淚溝、黑眼圈、鬆弛與紋路五大問題。

陳彥瑋醫師:只要有眼袋困擾者都可以進行「5D亮睛術」,手術時間大約為2小時進行局部麻醉後於下眼瞼做切口,透過眶隔釋放技術來疏導並做脂肪轉位,改變脂肪組織的結構藉以去除眼袋。如果同時有皮膚鬆弛問題,也可進行肌肉和皮膚修飾,相比傳統手術,「5D亮睛術」相對複雜許多,十分考驗醫生的技術。金鐘影帝屈中恆在接受「5D亮睛術」後,也表示術後至今的恢復都相當滿意,眼袋的差異是一眼就看出之外,黑眼圈、淚溝等問題也都一併改善,選擇光澤診所交給專業的醫師,就此告別五大眼周問題!
光澤診所提醒,進行該手術須健康狀況良好,尤其凝血功能正常。若為蟹足腫體質、女性經期中有或任何感染病狀況,請先告知醫生,將發炎反應控制良好後再進行手術。此外,患有高血壓和糖尿病的患者,應該在初診時告知醫師,並繼續規律服藥。手術前還要禁煙吸煙造成血管收縮,減少皮膚血液供給進而影響傷口癒合。
文章來源: